A matter of the heart

Heidelberg University Hospital (UKHD) is building a new Heart Center. Designed as a “smart hospital,” it aims to achieve international visibility through a holistic approach that integrates technology, data-driven research, and patient-centered care. In this interview, Prof. Dr. Norbert Frey, Medical Director of the Department of Cardiology, Angiology, and Pulmonology, and Prof. Dr. Benjamin Meder, Professor of Digital Precision Medicine, discuss a project truly close to their hearts.

Prof. Dr. Frey, why is the new Heart Center a milestone for the Heidelberg medical campus – and beyond?

Prof. Dr. Frey Because we are bringing together all cardiac medicine expertise under one roof. In addition to cardiology, cardiac surgery, angiology, and cardiac anesthesia, pediatric cardiology and pediatric cardiac surgery, as well as the research institute Informatics for Life, will join us in the new building. This holistic combination of cutting-edge technology, data-based research, and patient-centered care is internationally exemplary – at least at the scale and level of excellence we are realizing here. The new Heart Center may well become a blueprint for similar projects.

The center is being designed as a “smart hospital.” What characterizes this concept?

Prof. Dr. Frey A smart hospital is a fully digitized hospital. From registration to diagnostics, therapy, and discharge planning, all data is captured digitally. Combined with AI-supported processes, this data forms the basis for medical decisions. It also allows us to streamline procedures and make them more transparent.

Portrait of Prof. Dr. Norbert Frey

Prof. Dr. Norbert Frey

Medical Director of the Department of Cardiology, Angiology, and Pulmonology

ventricular fibrillation in an ECG

Prof. Dr. Norbert Frey studied medicine in Kiel, Baltimore, and Washington, D.C. He completed his specialist training in internal medicine and cardiology at the university hospitals in Heidelberg and Lübeck. Since 2020, he serves as Medical Director of the Department of Cardiology, Angiology, and Pulmonology. From 2027 onwards, he will be President of the German Society of Cardiology.

Learn more about Prof. Frey (in German)

How will this improve care for patients?

Prof. Dr. Frey Digitalization, short internal pathways, and close interdisciplinary collaboration will significantly increase efficiency. Lengths of stay will decrease, inpatient and outpatient care will benefit, and operating rooms and laboratories will feature state-of-the-art technology – including AI-assisted diagnostics. This enables us to offer faster, more precise diagnoses and highly individualized therapies. What matters deeply to us: we do not want to become an impersonal medical factory. We aim to create a pleasant environment in which people feel comfortable – patients and employees alike.

Architectural drawing of the planned Heart Centre: elongated building with up to four storeys, in red line style. When scrolling, the image changes into a colourful 3D visualisation with an oblique angle.
Architectural drawing of the planned Heart Centre: elongated building with up to four storeys, in red line style. When scrolling, the image changes into a colourful 3D visualisation with an oblique angle.

Prof. Meder, what exactly are you working on at the Informatics for Life research institute, which will also move into the new Heart Center?

Prof. Dr. Meder At Informatics for Life, we bridge applied and digital medicine, including machine learning, and translate innovations back into clinical practice. As Prof. Frey said, we want to build the prototype of a smart, fully digitized hospital. The potential is enormous.

Portrait of Prof. Dr. Benjamin Meder

Prof. Dr. Benjamin Meder

Deputy Medical Director of the Department of Cardiology, Angiology, and Pulmonology

atrial fibrillation in an ECG

Prof. Dr. Benjamin Meder discovered his passion for cardiology during his civilian service at the Heart Center in Bad Krozingen. He studied in Freiburg and joined Heidelberg University Hospital after completing his doctoral thesis. Today he is Deputy Medical Director of the Department of Cardiology, Angiology, and Pulmonology and spokesperson for Informatics for Life, which will be integrated into the new Heart Center.

Learn more about Prof. Meder (in German)

Can you give an example?

Prof. Dr. Meder Take patient safety – an essential topic. Patient data such as identity, diagnoses, medications, or therapies is often not available exactly where it is needed. We are working on solving this. Physicians retain full decision-making authority, but digital assistance systems support them. For example, AI can help evaluate MRI or ultrasound images and suggest diagnoses. Monitoring is also improving: Where is a patient currently located in the building? What is their heart rate? Can an emergency be predicted and prevented before it occurs? Predictive AI can be enormously helpful by recognizing early, often subtle warning signs.

Prof. Dr. Frey A strong example of a novel digital approach that increases patient safety is the use of patient-specific digital twin simulations. By practicing complex procedures on the digital replica of a real patient, we can significantly reduce surgical risk.

Prof. Dr. Meder Exactly. Another key task of the institute is to create the structures needed to safely integrate such tools and AI-based procedures into medicine. This requires testing and validation, which we conduct through the Informatics for Life clinical study unit.

The Heart Center – focused entirely on cardiac medicine

Cardiovascular diseases are the leading cause of death in Germany. Heidelberg University Hospital is therefore building a new Heart Center on the site of the former children’s hospital, adjacent to the Kidney Center. It will bring together all cardiac medicine departments and integrate them with the Informatics for Life research institute. The project was initiated by Prof. Hugo A. Katus, long-time Medical Director of Cardiology. The Dietmar Hopp Foundation and the Klaus Tschira Foundation are supporting construction with €129 million, and a private donor is contributing €1 million for the pediatric catheterization laboratory. The state of Baden-Württemberg will also provide significant funding as part of its priority program. Opening is scheduled for 2029.

Photos, news, and a 360° tour – follow the development of the new Heart Center! (in German)

You are pursuing an “industry-on-campus” approach. What does this mean?

Prof. Dr. Meder It means forming innovation partnerships with research-driven industry to accelerate the development of new therapies and medical products. Similar to drug development, digital solutions must also undergo extensive approval and testing processes. Industry often lacks sufficient patient data for development, while we benefit from external development expertise. The new center brings these strengths together.

How do patients benefit?

Prof. Dr. Meder They benefit very early from new developments. More than 1,000 AI-based procedures are already approved as medical devices. Many have demonstrated added value – for example in diagnostic precision and patient safety.

Prof. Dr. Benjamin Meder in surgical clothing leans over a patient. Other members of the surgical team can be seen in the background.
Providing the best possible care for patients – that is the goal of Prof. Dr. Benjamin Meder.
Sinusrhythmus in einem EKG
Prof. Dr. Norbert Frey with a microphone during a lecture as part of the “Medicine in the Evening” series.

Digitalization, especially AI, is clearly transforming medicine.

Prof. Dr. Meder Absolutely – and this begins with prevention, which will become increasingly important. AI allows us to analyze lab values and imaging much more precisely, enabling better prognoses and helping determine how intensive preventive measures need to be.

Prof. Dr. Frey Digitalization also strengthens patient participation. Patients want to be involved in decision-making. Processes are planned, implemented, and monitored together with them. They can use digital wearables and, if they wish, share their data transparently with our teams to support therapy management. This telemedical connection has great potential for improving therapy adherence.

Architectural drawing of the Heart Centre with a straight view of an elongated, four-storey building. The red sketch transforms into a colourful architectural view when scrolling.
Architectural drawing of the Heart Centre with a straight view of an elongated, four-storey building. The red sketch transforms into a colourful architectural view when scrolling.

Regional innovation power

The Rhine-Neckar region is already an innovation hub. In the Health + Life Science Alliance Heidelberg Mannheim, seven leading research institutions have joined forces to form an internationally leading biomedical technology cluster. The new Heart Center will further strengthen this profile. Its approach is collaborative and cross-sectoral, fostering close cooperation with regional hospitals and specialists in private practice. The goal is a network in which each partner fulfills a defined role. With its high-end medicine, the Heart Center will be able to address challenges that other institutions can no longer solve.

Actively helping to shape a project like the new Heart Center is probably a once-in-a-lifetime experience. What does the project mean to you personally?

Prof. Dr. Meder Planning and implementing this project with our highly motivated team is immensely rewarding. Collaborating with so many brilliant people is truly inspiring.

Prof. Dr. Frey I can only agree. We are creating something entirely new – a fresh start for the entire hospital. After returning to Heidelberg a few years ago, the opportunity to help shape this center was a major motivation. We are deeply grateful to our supporters – the state of Baden-Württemberg, the Hopp Foundation, the Tschira Foundation, and the private donor of the pediatric catheterization laboratory. Without them, this project would not be possible. The center is an excellent example of how politics and private foundations can achieve great things together.

Comments on the Heart Centre

Portrait

Inga Unger, M.A.

Head of Nursing, Center for Internal Medicine

“What has been closely interconnected in practice for years will now also come together structurally. The Heart Center creates optimal conditions for close, cross-sector collaboration – not only between medical and nursing staff, but above all for the excellent care of our patients.”

Portrait

Birgit Trierweiler-Hauke, BBA.

Head of Nursing, Surgical Clinic and Clinic for Anesthesiology

“The move to the direct vicinity of the Medical Clinic has already intensified our nursing and interprofessional exchange. In the new Heart Center, we will finally grow together – to the benefit of all those we care for.”

Portrait

Prof. Dr. Matthias Karck

Medical Director, Clinic for Cardiac Surgery

“With the new Heart Center, we are creating optimal conditions for highly complex procedures – closely interlinked with cardiology and in direct exchange with all involved disciplines.”

Portrait

Prof. Dr. Matthias Gorenflo

Clinic for Pediatric Cardiology and Congenital Heart Disease

“Children with congenital heart defects need specialized medical care – and a seamless transition into adult care. At the new Heart Center, we will accompany them on this path together with our colleagues in adult medicine – interdisciplinary, continuous, and always in the best interest of our young patients.”

Portrait

Prof. Dr. Dr. Tsvetomir Loukanov

Pediatric Cardiac Surgery Section

“In pediatric cardiac surgery, we treat children with highly complex heart defects and adults with congenital defects. The new Heart Center creates the structures for joint excellence – we will benefit together from new technical and digital opportunities.”

Other matters of the heart

Two scientists look at a transparent sheet with lines on it.

Clinic for Cardiology, Angiology, and Pulmonology

Atherosclerosis – Where is the clean-up crew?

The phagocytes in our immune system are the body's garbage collectors. But why don't they recognize the deposits that clog the blood vessels in atherosclerosis, which can lead to life-threatening circulatory disorders? This is precisely what cardiologist Dr. Kai-Uwe Jarr is researching – with the support of the Corona Foundation in the Stifterverband für die Deutsche Wissenschaft (Donors' Association for the Promotion of Sciences and Humanities in Germany).

The problem

Atherosclerosis is the leading cause of death worldwide. Many biological mechanisms of arteriosclerosis are still not understood. What we do know is that in patients, important blood vessels progressively narrow because fats, calcium, and dead cells are deposited on their inner walls. These plaques become inflamed and continue to expand, ultimately leading to heart attacks and strokes.

The approach

How could the body's own immune system be recruited to treat life-threatening vascular narrowing? Dr. Kai-Uwe Jarr, senior physician at the Department of Cardiology, Angiology, and Pneumology at Heidelberg University Hospital (UKHD), is investigating this question. This is because a key factor in the life-threatening progression of the disease is the fact that the body's waste disposal system, consisting of phagocytes in the immune system, does not properly recognize and remove deposits and diseased and dying cells. Dr. Jarr and his team want to find out which mechanisms are disrupted in this process and how this weak point could be therapeutically influenced.

Corona Foundation supports
Dr. Kai-Uwe Jarr

Dr. Kai-Uwe Jarr is receiving €1 million from the Corona Foundation of the Stifterverband für die Deutsche Wissenschaft (Donors' Association for the Promotion of Sciences and Humanities in Germany) for his research on immunotherapy for atherosclerosis and the establishment of his own junior research group at the Heidelberg Medical Faculty of Heidelberg University. The support is part of the “Junior Research Group Cardiovascular Diseases” program. The personalized funding is aimed at scientists with doctorates who would like to prepare for a leadership position during the five-year funding period.

The goal

Developing new treatment approaches to prevent heart attacks and strokes – that is the goal of the scientists. To this end, they first want to reactivate the disturbed behavior of the phagocytes. This should prevent the disease from progressing. Certain cancer drugs, known as immunotherapies, offer an innovative approach. The Heidelberg research shows for the first time the potential benefits of such targeted immunotherapy. Further studies are planned to deepen knowledge of the connections and further develop the treatment approach.

Listen to the podcast “All about the heart – from prevention to intervention” from the Medicine in the Evening series (This podcast is available in German only).

Did you know that...

... the human heart pumps around 7,000 liters of blood through the body every day? That’s roughly equivalent to the contents of 40 bathtubs.

Quelle: herzstiftung.de (in German)

... Leonardo Da Vinci already described the heart as a pump in the 16th century? He also recognized that the coronary arteries thicken with age. He was thus the first to describe atherosclerosis.

Quelle: science.orf.at (in German)

... laughter is not only proverbially the best medicine? A study from 2023 shows that laughter helps patients with heart disease during rehabilitation.

Quelle: academic.oup.com (in German)

... music can change not only a person’s mood, but also their heart rate? A study of 60 people found that music by Mozart and Strauss lowers blood pressure and heart rate, but music by ABBA does not.

Quelle: aerzteblatt.de (in German)

... the blue whale has the largest heart? It can weigh up to a ton1 and beats only about six times per minute when the whale is submerged. The smallest heart belongs to the Etruscan shrew, which is about 2.5 centimeters long. Its heart beats up to 1,500 times per minute.2

1Quelle: wissenschaft.de (in German)

2Quelle: zoo-dresden.de (in German)

Brief introduction

Cardiology, angiology, and pneumology – Innovative treatments for cardiovascular diseases

Cardiovascular diseases are among the most common causes of death in Germany and are a central focus of the Clinic for Cardiology, Angiology, and Pneumology. Using state-of-the-art diagnostics, innovative therapeutic procedures, and interdisciplinary collaboration, the clinic offers comprehensive care for patients with heart disease.

Particular areas of focus include interventional cardiology (e.g., minimally invasive heart valve procedures such as TAVI), heart failure, cardiac arrhythmias, and highly specialized imaging (MRI, CT, 3D echocardiography) . Every year, the team performs more than 6,500 procedures on the coronary arteries and treats hundreds of patients with cardiac arrhythmias using state-of-the-art catheter technology.

State-of-the-art medical technology – including hybrid operating rooms, high-precision 3D mapping systems, and digital twins for therapy planning – enables treatment at the highest international level. The clinic also specializes in the care of patients with advanced heart failure, including preparation for heart transplantation or the use of cardiac support systems.

Visit the website of the Clinic for Cardiology, Angiology, and Pneumology:
A nurse hands an object to a patient. Only the patient's hands are visible.

Care

Nursing between technology and trust

Severe heart failure changes lives – physically, emotionally, and socially. Nursing professionals play a central role in this process: they accompany patients through a particularly stressful phase, providing guidance and support.

In “PflegeKraft HD”, the nursing podcast from Heidelberg University Hospital (UKHD), Lena Jung and Yvonne Müller talk about their work with people whose hearts are severely weakened. Lena Jung is a nursing expert in a cardiology ward in the Department of Internal Medicine. She advises, explains, and supports those affected in maintaining as much quality of life and independence as possible.

Portrait of nursing expert Lena Jung

Lena Jung

Nursing expert

Our main shared goal is to provide holistic care for patients, to see them as individuals and also to look at their home environment, their family circumstances, and how they are coping.

Yvonne Müller works in cardiac surgery as a VAD coordinator. She cares for people for whom medication alone is no longer sufficient. With the help of mechanical heart support systems – known as ventricular assist devices (VADs) – the heart's pumping capacity can be technically supported, buying valuable time until a transplant becomes possible. The interprofessional team often provides support over a period of months or even years.

Portrait of VAD coordinator Yvonne Müller

Yvonne Müller

VAD coordinator

Long-term care for patients with severe heart disease is like a relationship. There are good times. There are bad times. There is a bit of drama, and then there are times of reconciliation. In the end, we are very close to the people.

Nursing expert Lena Jung shows a patient an information sheet and smiles. The patient is blurred in the background.
Lena Jung trains patients in how to deal with their severe heart disease.

Working together for people with severe heart failure – care with a view to the whole picture

How does interdisciplinary care between internal medicine and cardiac surgery work? Lena Jung and Yvonne Müller report on their everyday work – and on a collaboration that gives people support.

Podcast, 07/2025 (This podcast is available in German only)

Transkript

Working together for people with severe heart failure – care with a view to the whole picture

Jana Wagner: Welcome to a new episode of PflegeKraft HD, the nursing podcast from Heidelberg University Hospital. This episode is part of our short series on caring for heart patients. Today we’re talking about real teamwork between two departments that work particularly closely together when it comes to people with severe heart failure: cardiac surgery and internal medicine.

My name is Jana Wagner and I work in corporate communications at UKHD. Today I’m delighted to welcome Yvonne Müller. She is the VAD coordinator – that is, ventricular assist device coordinator – in cardiac surgery, and Lena Jung, who is an Advanced Practice Nurse (APN) in the Medical Clinic. Hello, both of you!

Yvonne Müller: Hello!

Lena Jung: Hello Jana.

Jana Wagner: Both of you accompany your patients on their journey to transplantation, through major operations and often over many months or even years. We’ll be talking about how nursing can provide support in such exceptional situations, how good cooperation across clinic boundaries can be achieved, and what you hope the new Heart Center will bring to your daily work.

I’d like to briefly introduce you to our listeners. Let’s start with you, Lena. You are an APN nursing expert in the Medical Clinic. What exactly does that mean and what do you do?

Lena Jung: I specialize in cardiology patients – especially in patients with heart failure, i.e., people whose hearts are very weak. This means that the heart muscle simply no longer pumps sufficiently. These patients arrive on our ward and are suddenly confronted with a chronic condition that will continue to worsen. And that’s where I come in. I try to educate patients about the disease, talk to them about symptoms and side effects so that they can recognize deterioration quickly and independently, take active measures, and figure out what is good for them in everyday life – so that they can continue to live as actively as possible with the highest possible quality of life.

Jana Wagner: And the patient’s journey then continues on to Yvonne – is that correct?

Lena Jung: Exactly, because medicine has advanced so much: we can do a great deal with medication, but at some point the disease has progressed so far that we have to resort to more drastic options. And that’s where it’s incredibly valuable that assist devices now exist, because we simply have very few donor organs and many people wait a very long time. But this waiting time causes damage to other organs and sometimes would simply be too long.

Jana Wagner: And Yvonne, you are a VAD coordinator in cardiac surgery. What exactly do you do?

Yvonne Müller: That’s a very good question – one that I, or our team, am often asked. There are three of us who care for people with terminal heart failure who are at the very end of their heart failure journey, as Lena already mentioned. Time sometimes runs out, despite optimal care, and unfortunately, hearts don’t grow on trees here in our backyard. To make this waiting period more bearable, and to prevent patients from becoming so unwell that they are no longer eligible for a transplant, there are mechanical support systems that are implanted on the left or right side – and in some cases, unfortunately, on both sides. These systems take over circulatory function, maintain blood flow and aim to ensure the best possible outcome until transplantation. Ten or fifteen years ago, these were people who had their devices implanted straight from intensive care. We used to call them “crashed and burned”. They then stayed in the hospital until they were transplanted – or, sadly, it ended tragically and they never got that far. In recent years, thanks in part to care provided by specialized teams, we have managed to enable many of these people to go home again, sometimes to work again, and to regain a relatively normal sense of life and family. We don’t just care for people who are 60 and older. Classic chronic heart failure often affects people from their fifties onwards, but we also have what we jokingly call a “kindergarten” – and by that we don’t mean pediatric patients, but people between 20 and 40 who are actually in the prime of their lives. In Heidelberg, the VAD coordinator is already involved before the implantation by explaining to people what kind of device we want to implant, what life will be like afterwards, what changes they may need to make and how they should adapt their daily routines. We are sometimes present in the operating room during implantation, and we provide training afterwards. As soon as patients can speak on the intensive care unit, we begin in small steps: How is the device powered? What do I need to be aware of? We accompany them through rehabilitation – but our job does not end there. Together with the cardiologists, we organize an interdisciplinary outpatient follow-up clinic and see patients there as a team. My colleagues and I from the surgical side work closely with the cardiologists so that we can prepare patients for transplantation in the best possible way.

Jana Wagner: Lena, when you think of the people you care for together – what kind of patients are they, and how do you experience them in this special phase of their lives?

Lena Jung: Patients often arrive on our ward and, for them, the diagnosis comes very suddenly: they may just have had a slight cold or felt a bit weak – and now, all of a sudden, we confront them with the diagnosis that they have a serious heart condition. These are patients who, for example, are flown back as an emergency from vacation because they suddenly experience shortness of breath. They expect an acute event; they don’t expect to be chronically ill. They expect to come to us and then go home again as healthy patients. Coming to terms with the fact that this is a chronic condition is a very difficult and long process. At this point, they also feel weak, unwell and overwhelmed, and we try simply to be there for them, to show them options and to support them.

Yvonne Müller: Heart disease is such a central issue. The heart also carries a strong emotional meaning; so many factors play into it – including existential fears when you are suddenly confronted with a chronic illness that you haven’t previously felt or experienced. It’s like Lena says: people often think, “I go to the hospital, get some medication and then I head home and everything is fine again. Then I go back to my old life.” But it’s not possible to go back to how things were before. We can help slow things down in the context of chronic disease, but we can’t cure it. I think that’s the crucial point that everyone has to grapple with at first.

Jana Wagner: Can you describe what these people need – both medically and emotionally – and what role you as nurses play in this?

Yvonne Müller: It’s actually very complex and always individual. Of course, they need close, highly professional medical care in the form of diagnostics and therapy. But alongside all this professionalism and all the medication, they need emotional support above all: they are distressed, they are uncertain, they are afraid – and yet, at the same time, they have to be prepared relatively quickly and discharged home to stand on their own two feet again. They have to learn many things at once, especially to take care of themselves. Everyone knows that diabetes is not good, that high blood pressure is not good, that a healthy lifestyle is important – but you don’t change all of that overnight. And now I have this diagnosis and someone comes and tells me: you have to lose weight, you have to exercise, you have to do this and that. But with my heart condition, I may not be able to do all that. I’m given lots of rules, I have to take many pills – maybe eight or ten just for breakfast. That alone can make you lose your appetite. To build adherence, we develop a treatment plan together with the patient, we walk the path with them and, as we often say, we try to “meet them where they are”. It may sound like a cliché, but that’s exactly what it is: for each patient you have to find the point where you can hook in, where you can build trust, and then work from there. That means we have to constantly adjust our concepts. We can’t just make one-size-fits-all plans if we want to provide truly holistic care.

Jana Wagner: What I’m hearing is that you care for your patients over a very long period of time. What does this continuity mean for the patients – and for you?

Yvonne Müller: Long-term care for these patients is like a relationship. There are good times. There are bad times. There is a bit of drama, and then there are times of reconciliation. In the end, we are very close to these people; we know a lot about their families and what life is like at home. That helps us to assess how we can continue working. When my patients come to the outpatient clinic, I can usually tell from a distance that something isn’t right. If you only ask standard questions, you often don’t find out what it is. But because we know each other so well, you can see from the small nuances that something is going on, and that helps us a lot because we are so close. But when you are very close, you also have to be able to set boundaries. Sometimes we are like a small family doctor’s office and are called about non-cardiological issues: because a neighbor has injured his arm, or because a child needs to be vaccinated.

Jana Wagner: I’m interested in the fact that there is a “before” and “after” transplantation. Does that also change the relationship – and if so, how does that show itself?

Yvonne Müller: For us as the VAD coordinator team, definitely, because our care ends with the transplant. And that plunges some people into a big emotional conflict. They think: this is the team I’ve worked with for such a long time, this is the team I trust – and now there are new people. Do I like them? Do I know them? Lena and her team on Ward “Wunderlich” know them, but the patients are then cared for in different outpatient clinics. The care is no longer as intensive as it was at the beginning, and that is a kind of letting go. Some people find this step difficult. But we are always happy when they come back to visit us afterwards – and some do come by and say, “I just wanted to say hello.”

Jana Wagner: Lena, what would you say helps patients build confidence? What can you do to make them feel safer throughout the whole process?

Lena Jung: I think, above all, patients get to know us at the bedside and as a team on the ward in their day-to-day care. We’re there consistently. Our medical colleagues tend to rotate, so patients don’t have a permanent contact person in the medical team. However, Yvonne and her colleagues in the outpatient clinic are always the same. We on the ward also work as a fairly consistent team. Patients quickly become familiar with the people they trust, and this makes them more comfortable, especially with repeat hospital stays. We are approachable and available at all times. We can clarify questions, and we’re often more accessible than, for example, our senior physician, who conducts excellent, detailed rounds but then has to move on. Our questions tend to be more related to everyday life: “How do you manage this at home?” Or we ask: “How do you handle this at home?” It’s only when patients start thinking about this that it really dawns on them: “At some point, I’ll be going home. I’ll need to manage this on my own. How do I actually do that?” I also believe, as Yvonne mentioned, that we’ve learned to adjust to each patient’s individual abilities and resources. Of course, we’d love for patients to fully understand everything, to implement it perfectly, change their lifestyle, and be “ideal” in every way. But we know that this is an unrealistic expectation for all of us, and we try to tailor our advice and expectations to what each patient can realistically handle. This means patients are usually not afraid of us. They know they can be honest if things haven’t gone as planned. And we try to make it clear that it’s not a failure if something doesn’t work out perfectly.

Jana Wagner: We’re talking about the close interaction between surgery and internal medicine. You have very intensive teamwork in exactly this area and work in two different departments – surgery and internal medicine – but with the same patients. So I’d like to know – let’s start with you, Yvonne – how does this collaboration work in practice from your point of view?

Yvonne Müller: Better and better, I have to say. My colleague Florian Müller, who started VAD coordination here years ago, was the pioneer. He brought the cardiologists and cardiac surgeons much closer together. In the past, we were also much further apart physically: the old cardiac surgery building was several hundred meters away, with the botanical garden in between. That was a very clear boundary. Now we are an interwoven, interdisciplinary team, and the patient is truly at the center. Of course, we don’t all agree on everything; it’s like a big family: there are lots of discussions and everyone thinks they know a bit better. But in the end, it all fits together like pieces of a puzzle. And I think we benefit from each other. The cardiologists are better at some things, the cardiac surgeons at others, and we are a bit in the middle, trying to take the best from each side – and sometimes simply to mediate between the players.

Jana Wagner: And Lena, what do you need for this collaboration to work well?

Lena Jung: I also think that this physical coming together was simply brilliant. Of course, we can also talk on the phone and write emails, but it’s so much easier just to chat briefly in the corridor or coordinate something quickly. I can walk over and ask again: how do you handle this? Right after surgery, does this wound really look okay? Everything is much more closely connected. I think communication is incredibly important, and I’m really happy that we are like a big family where all questions are allowed and we can talk openly.

Jana Wagner: We’ve talked about communication and exchange. What, for you, makes good collaboration in nursing – especially in such complex cases? Are there particular factors that come to mind?

Lena Jung: I think our main shared goal is to provide holistic care for patients, to see them as individuals and also to look at their home environment: what are their family circumstances like, how are they coping? We are very much in agreement on this. That makes collaboration much easier, because we have similar visions and goals and can work well together. A short sentence is sometimes enough: for example, “We should take another look at this person’s work situation.” And then we can complement each other very well. This shared understanding of nursing – truly accompanying patients in all aspects of their lives and supporting them in coping with a very limiting chronic condition – helps us a great deal in our collaboration.

Yvonne Müller: The personal exchange we have because we see each other so often allows us to address small issues more frequently. If you only have fixed appointments and go “over to the other clinic” for a case conference – “now we’re going to discuss this and that patient” – then nuances get lost. Through this daily exchange and these short interaction paths, we can capture much more than just parameters. Of course, we have parameters: we measure NT-proBNP, various lab values, we look at the echocardiogram and performance. But those are, first of all, just numbers – and we don’t treat numbers. They are important for decisions, but the little things that make or break a therapy are things like adherence: does someone take their medication, is someone well supported at home, or are they at risk of slipping through the cracks? There are people who are very stable in the clinic after coming in decompensated and being recompensated. They go home and come back after six weeks because they can’t cope at home. You can then admit them every six or eight weeks and say, “We’ll recompensate you again and send you home” – and play that game forever. Or you can exchange ideas: “Do you have any idea what the problem might be? Can you offer another consultation, some follow-up training? Have you spoken to the family doctor? Do you know the family? I haven’t seen the son in a long time.” You can pick up on these small nuances much more quickly in personal exchange. And to be honest, no ward round has time for that. Rounds are for medical parameters, lab tests and diagnostics, but in our high-performance environment there is simply not enough time for these psychological aspects. We, as Team “Wunderlich” and the VAD coordinators, can compensate for that quite well and try to find the right tone. Each of us can sing – but together with the patient, we become a choir, you might say.

Jana Wagner: That sounds like great collaboration. Thank you very much for this vivid description. I’d like to take a look into the future: I mentioned the new Heart Center earlier and would like to know – Yvonne, perhaps you first – in the new Heart Center you’ll be working even closer together. What will that mean for your work?

Yvonne Müller: For us as VAD coordinators, it means we’ll be doing fewer steps per day because we won’t have to walk through all the different clinics anymore. In principle, I think it’s a huge game changer, because we’ll be even closer – almost like sharing an apartment. It’s no longer like living in a row of houses where I have to go outside and walk over to someone; we’ll be right next to each other. Information will flow even faster. And I think patients won’t feel like: “Now I’m in internal medicine, then I’m transferred to cardiac surgery, then back to internal medicine.” Instead, it will be clear: this is a heart team and a Heart Center. That’s very obvious to people. Patients are not “passed around” even now – but in the new Heart Center they will feel even more held and supported. And for us, the channels of communication will become much, much shorter.

Jana Wagner: With the new surgical building, a sense of closeness has already been created, as you’ve already mentioned – and now it will become even closer. Lena, how do you see it? What do you wish for nursing in the new Heart Center, both professionally and in terms of collaboration?

Lena Jung: I’m really excited. I’m very much looking forward to being able to ask about surgical questions in a completely straightforward way – and to really understand things even better. At the moment, when we have a surgical question, we call. Then I have a colleague on the phone, but I don’t have a face to go with the voice – but of course I still get my question answered. I’m also really looking forward to working with patients in this shared structure. To take the example of heart transplant patients – Yvonne already mentioned them: they usually have a VAD history, but in any case, they have a long medical history in which they were closely monitored. And then they get a new heart, a goal they have been working towards for a very long time. After that, they are suddenly completely overwhelmed and things become problems that we never anticipated as problems. We often get feedback like: “I don’t really know anymore… in surgery they told me this, now it’s different here – what’s right, what am I supposed to do when I’m back home?” People are completely overwhelmed. That’s why I’m so happy that we will then be one unit. We will speak with one voice – that reassures patients because they get a consistent message. We will have the same SOPs; everything will be truly standardized. Patients can then focus on what is really important and won’t get lost in differences between departments.

Jana Wagner: I have one last personal question for you – or perhaps you can also give our listeners a few tips. Your roles are quite special, you have a lot of responsibility and a great deal of specialist knowledge. How did you get to this point – and what should someone bring to the table who would like to follow a similar path?

Yvonne Müller: How do you become a VAD coordinator? That’s a good question. There isn’t one single, fixed training pathway for this role. All of us are qualified nurses and have worked in intensive care. Over time, we obtained additional qualifications through further training. We are trained on the devices by the manufacturers, we are wound care experts, and our colleague Lisa, for example, has completed a cardio-psychology course. You bring together many different building blocks to fit the needs of this role. At the university hospital, the VAD coordinator role is very holistic. We are involved before surgery – we provide information, and we help select and screen patients together with the physicians. We can be present during the operation; we do the training afterwards and we run the outpatient clinic. So, the spectrum is very broad. At the same time, we are in contact with the companies, we do a bit of controlling, and we work with pharmacology and microbiology. So, you can see: it’s really very multifaceted. Ultimately, you need team spirit – that’s very important. You need curiosity and enjoyment in communicating with other people and other professional groups, and you need to enjoy working with a very wide range of patients, because no two are alike. You always have to be ready to adapt to new people. You also have to enjoy working on projects, because we organize a lot of things ourselves. I think Lena will agree: we launch a lot of projects. For example, we developed an app for our aftercare patients. You don’t learn that in any standard training – you just have to be open to new things. And you have to be able to set boundaries; that’s important too.

Lena Jung: When I started working in intensive care after my training, I had a lot of respect and everything felt like a lot. The first project we started there taught me that even when you’re new to a topic, there can be a lot of positive feedback. Back then, the cardiac surgery building really was still several hundred meters away. The project dealt with initial care, for example when patients come to the hospital as an emergency after resuscitation. The departments were very separate, and each center had its own emergency management system. I simply asked questions and received such positive responses. I think that carried me forward and also took away a lot of my fear, because I realized: I’m allowed to ask here, and people work together even if they think in very different ways or have different priorities. That’s how I completed my bachelor’s degree and eventually decided – because I had grown so fond of cardiology – to do a master’s degree focusing on highly complex patient groups. These are exactly the patients who need an interprofessional team that provides holistic care, as we have tried to describe. Both the master’s program and many continuing education courses, which are also very multifaceted because there are so many aspects involved, have helped a lot. But it’s also true that you always get support if you ask nicely – everywhere. Personal development is very much linked to the challenges you face every day.

Jana Wagner: Thank you both very much for these insights into your exciting work. I hope our listeners were as captivated by your stories as I was. If you, as listeners, feel that you have a question or are interested in learning more, please feel free to use the comment function and post your questions, thoughts and feedback there – we’ll take the time to answer them. If you are interested in nursing training or specifically in caring for heart patients, perhaps Yvonne and Lena can also answer some of your questions. You can also look forward to the next episodes in our short series on caring for heart patients. The next episode will continue with this topic. If you don’t want to miss anything, subscribe to the podcast, feel free to leave a positive review or recommend us to others. Otherwise, thank you very much, Yvonne, and thank you very much, Lena, for today’s interview.

Portrait

Yvonne Dintelmann

Director of Nursing

“Our nursing staff support people with severe heart failure with a high level of professional competence and individual advice – and at the same time give them support and confidence.”

Symbolic image: Six open hands are placed on top of each other, with a red plastic or glass heart in the top one.

Podcast from pediatric heart surgery

A new heart for Lara

When Lara is just eight days old, her family receives the devastating diagnosis: congenital, complex heart defects. Years of operations, setbacks, and hope follow. In the winter of 2023, Lara's condition deteriorated dramatically. An artificial heart took over the vital function – but it was only a temporary solution. And then, in the middle of the night, the liberating call came: a donor heart was available. The most beautiful gift, just two weeks before Lara's twelfth birthday.

A new heart for Lara

In the podcast, Lara's mother and the doctors treating her talk about an extraordinary journey – between high-performance medicine and humanity.

(This podcast is available in German only)

Transkript

A new heart for Lara

A new heart for Lara. A podcast from Heidelberg University Hospital.


Mother: Lara was eight days old, and we didn’t know she was sick. Then she wasn’t feeling well at night, so we took her to the pediatrician in the morning, and he had her brought to the children’s hospital by ambulance. And when we arrived here, they told us: “Your child has a serious heart condition.” And that’s how our story began.


Lara’s mother is sitting in a meeting room at the pediatric clinic of Heidelberg University Hospital. Lara is now 12 years old and has spent a lot of time here. Prof. Tsvetomir Loukanov, a pediatric heart surgeon, has been with her from the beginning.


Loukanov: She was born with a congenital heart defect – in fact, several congenital heart defects. She has an underdeveloped aortic arch, severe stenosis of the aorta, and several holes in her heart. Her condition deteriorated at home a few days after she was born. This is often the case with these types of heart defects. She then had to be resuscitated. In other words, she arrived in a condition that was practically beyond saving. ...And as the head of our intensive care unit at the time always said, and rightly so: the heart muscle never forgets a condition like that. ...


So Lara’s heart was damaged from the start, and she often had to go to the hospital when her heart threatened to fail again. Time and again, she underwent surgery or a cardiac catheterization, and then she was fine for a while. Until last November.


Mother: Lara wasn’t feeling well last November. It started with gastrointestinal infections. That went on for about three weeks, and then I said, “No, we’re going to the hospital now and getting that checked out.” And then there was already fluid buildup under her heart. So we were admitted here. Two days later, a cardiac catheterization was performed. And then we were immediately transferred to the intensive care unit because the pressure in her lungs was very high. We were in the intensive care unit starting December 1. On December 6, she received her Berlin Heart. And she had her Berlin Heart until April 8.


As the name suggests, the Berlin Heart comes from Berlin. It was developed there specifically to help children, even newborns, with acute heart failure. It is a type of pump, an artificial heart that helps the heart supply the body with blood. However, the Berlin Heart is not a permanent solution. It is really just a way to bridge the time while waiting for a donor heart, explains Prof. Loukanov.


Loukanov: Unfortunately, organs are in short supply at this age. The Berlin Heart buys months – or in very rare cases, years – to find a suitable organ. Technically, the Berlin Heart is getting better and better, but as we know from technology, there are also limits. So it is not a permanent replacement for the heart.


Very small donor hearts, such as the one needed in Lara’s case, are not very common. Therefore, the family had prepared for a long wait. They were not allowed to leave the clinic during this time, as complications could arise at any moment. And then the liberating call came on April 8, 2024, exactly five months after she received the artificial heart and two weeks before Lara’s birthday, her mother recounts.


Mother: We were woken at 2:30 a.m. to be told that the time had come. At first, we were very happy for Lara and could hardly believe it, but we had mixed feelings. Of course, you’re also afraid and anxious. And they told us they were proceeding with caution because there was always a possibility that it might not work out and she would come back from the operating room with her Berlin Heart. And that was frightening and worrying, but also joyful in a way. Yes, it was a very strange feeling.


While Lara was being prepared for surgery at the children’s hospital, preparations were already in full swing in the cardiac surgery department. Cardiac surgeon Prof. Anna Meyer received a call from the intensive care unit from the doctor on duty.


Meyer: He called me – I think it was around 11 p.m. – and said: “We have an organ offer. It looks pretty good so far; should we accept it?” And then, of course, you think about it. After all, we don’t have pediatric heart transplants every day: Will the heart even fit? Is it too small? Is it too big? Will the aorta match? Will the entire heart fit into the chest cavity? ... And then we were actually quite optimistic and accepted it.


And from then on, Anna Meyer spent four hours on the phone.


Meyer: We called the team from the children’s hospital – the pediatric heart surgeons – so that one of them could go along for the organ retrieval. Then our own team, which goes out for the organ retrieval. Then the cardiac technicians so they could begin preparing everything. Then the pediatric anesthesiologist, so he could prepare the anesthesia and tell us how long he would need – to make sure the timing worked out. We had the scheduled time for the organ retrieval, and from that we had to calculate: When does our recipient need to be in induction? When does surgery need to start? How long will preparation of the heart take? And we planned from there.


Eight hours later, the time had come. The donor heart arrived in a cooler; Lara’s chest was opened, and her circulation was connected to the heart-lung machine. Senior physician Rawa Arif performed the transplant. Surgically, the key task is to connect the large blood vessels of the donor heart to those of the recipient.


Arif: In surgery, we speak of anastomoses – vascular connections that are usually created using sutures. In a heart transplant, five anastomoses are performed: the large vessels are sutured together, the vena cavae are sutured together, and the left atrium is sutured. That gives us a total of five anastomoses.


And then comes the decisive moment: the new heart must take over the pumping function from the heart-lung machine. The clamps are removed from the blood vessels, and the recipient’s blood flows into the new heart. Even for an experienced heart surgeon like Rawa Arif, this is always a moving moment.


Arif: The first moment when you release blood circulation to the heart … because ideally, certain regions immediately begin sending signals and regulating the rhythm. That’s the first sense of success. And then the time it takes for the heart to slowly recover from the ischemia period until it beats independently again. These are the crucial moments. They sound quick, but they can take time – and you have to give the heart that time. During this period, imaging, lab tests, and other methods are used to check that the entire system is functioning well and that the heart is being accepted. ...And above all, the moment when the heart-lung machine steps back and the heart starts beating on its own.


Lara’s surgery took almost eight hours – a very long time of uncertainty for her parents. But then came the relieving phone call.


Mother: And at half past three in the afternoon, Prof. Loukanov called to say that Lara’s new heart had been beating in her chest since 3 p.m. We were all very relieved and very happy.


Lara had to remain in the intensive care unit for one more night until her new heart was stable enough for the doctors to wake her from anesthesia.


Mother: And the next morning I received a call saying we could visit Lara, that she had already been extubated and was waiting for us. And Lara was lying happily in her bed and said: “Hello, Mama!” I hadn’t expected her to be so responsive and alert. We could really have a conversation with her. And everyone was, of course, delighted. When we came over to the children’s hospital, everyone was already waiting and happy that Lara was back. It was very emotional.


And two weeks later, it was Lara’s birthday – and of course it had to be celebrated.


Mother: We started celebrating at night with all the nurses and doctors. And then it continued in the morning. It was really lovely, and Lara was really happy. It was a different birthday, but a very nice one.


Lara also thought the birthday was very nice – because there were lots of presents. Even some that weren’t allowed before.


Lara: There were lots of things. … A big magnetic game from the surgeons – where I can try things with magnets – because now I’m allowed to play with magnets. I wasn’t allowed to play with magnets my whole life because I had a pacemaker. It was like a little device in my abdomen that supported my heart.


After 12 years of constant worry that her heart might fail, after many operations and examinations, after more than four months in the clinic with an artificial heart, the best gift was her new heart. Now there is hope that Lara will be able to lead a fairly normal life for the first time. Of course, the rejection of the new organ must be monitored, and Lara takes medication to prevent her immune system from rejecting it. She still has to be careful and is not yet allowed to go to school for fear of infection. But Prof. Tsvetomir Loukanov is confident that Lara will soon be able to play happily with her friends again. And that is the greatest reward for the entire team in pediatric heart surgery, pediatric cardiology, and cardiac surgery at Heidelberg University Hospital.


Loukanov: She now has a good quality of life. She has received a healthy organ. Her own body will take a long time to decide whether to accept the organ or not. At the moment, everything looks positive. But the examinations, biopsies, and care for Lara will continue for years – practically for life. ...But at the moment, things look very, very promising. We also receive photos of Lara, and that keeps us going in our daily work and gives us extra energy for the other children.


A new heart for Lara. A podcast from Heidelberg University Hospital.

Group photo of six adults and Lara, the patient from paediatric heart surgery. Next to her is a trolley with the Berlin Heart. Everyone is looking at the camera and holding an organ donor card in their hand.
What a welcome change: after spending almost four months in the clinic, Lara, still wearing the Berlin Heart, is allowed to take a trip to Heidelberg Zoo. Her parents, her sister, and her best friend from school, Maike, are there with her. The “adventure” is made possible by the great commitment of the pediatric intensive care unit: Lara is accompanied on her visit to the zoo by nurse Nicko Troiannos and his son Aeneas, as well as Dr. Theresia Weissgerber.
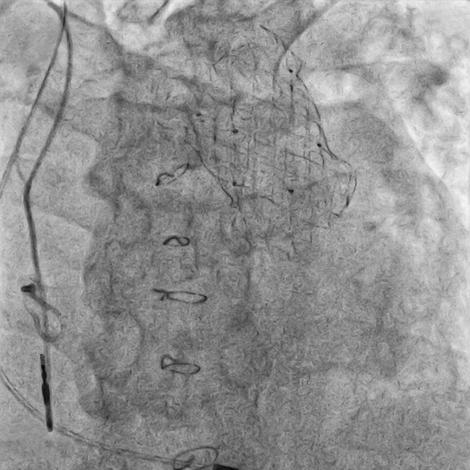
X-ray image with a fine, net-like mesh.

Clinic for Pediatric Cardiology and Congenital Heart Disease

Venus valve – a new solution to an old problem

Adults with congenital heart disease have often undergone numerous operations. At Heidelberg University Hospital (UKHD), a new pulmonary valve prosthesis is now available that can be implanted in previously operated adults – using a minimally invasive technique.

What is the pulmonary valve?
The pulmonary valve is one of the heart’s four valves. It sits between the right ventricle and the pulmonary artery and regulates blood flow to the lungs. In some congenital heart defects, the valve is narrowed or malformed. In these cases, it often needs to be repaired or replaced during childhood – sometimes several times over the course of a lifetime.

What is the Venus valve?
The Venus valve is a new type of pulmonary valve prosthesis. It can be implanted via catheter, meaning no open-heart surgery is required. This is particularly beneficial for adults whose right ventricle has undergone significant changes in the area of the pulmonary valve. Many existing prosthetic valves have not been suitable for them. Although the number of procedures using the Venus valve will likely remain small, it represents a significant improvement for affected patients.

Why does pediatric cardiology treat adults?
About one in 100 newborns is born with a heart defect. Fifteen to twenty percent require prompt treatment. Ninety-five percent now reach adulthood; in Germany alone, more than 360,000 adults live with congenital heart disease (GUCH). They require lifelong follow-up care. When they need a catheter-based intervention, they are often treated at the UKHD by the specialists most familiar with these conditions – the physicians at the Clinic for Pediatric Cardiology and Congenital Heart Disease.

How is the UKHD positioned in the field of GUCH?
The UKHD has a dedicated GUCH outpatient clinic. There, patients receive care from experts in congenital cardiology, adult cardiology, angiology, pulmonology, and cardiac surgery. The clinic is certified as a “3rd level GUCH Center” by the German Society for Cardiology – Cardiovascular Research.

Brief introduction

Pediatric cardiology – Modern diagnostics and therapy for congenital heart defects

Congenital heart defects are the most common malformations in newborns – but thanks to today’s advanced medical care, treatment options are better than ever. The Department of Pediatric Cardiology at Heidelberg University Hospital offers highly specialized diagnostics and therapy for children and adolescents with heart disease.

A particular focus lies on minimally invasive catheter-based interventions and intensive care. In close collaboration with the Pediatric Cardiac Surgery Section, children of all ages can receive optimal surgical treatment. Long-term care – from prenatal consultations to the treatment of adult patients with congenital heart disease – is also an integral part of the interdisciplinary treatment concept.

Visit the website of the Department of Pediatric Cardiology and Congenital Heart Disease (in German)
Exterior view of the children’s hospital with a colourful glass façade.